Home > Research Areas
Direction 1: Gene Nanocarriers

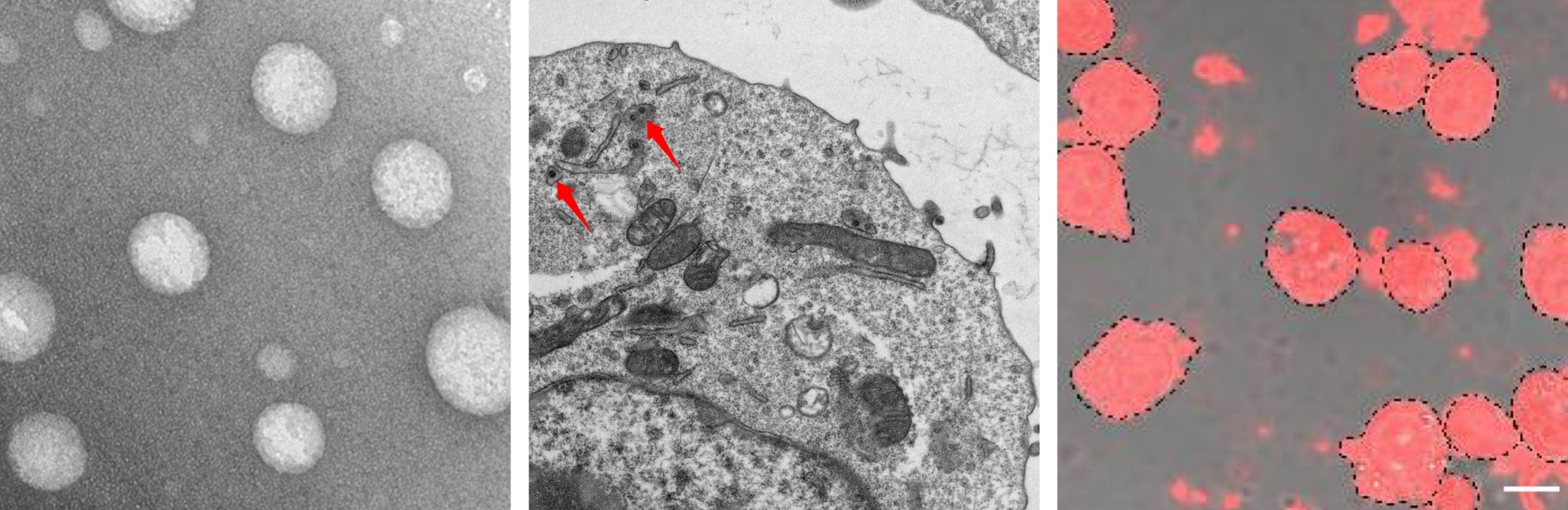
Development of nanocarrier-based systems for in situ gene editing and precision-targeted immune cell engineering, with therapeutic applications in cancer and autoimmune diseases.


  • Nanoshuttles Simulating Phagocytosis of Apoptotic Cells

    Nanoshuttles Simulating Phagocytosis of Apoptotic Cells

  • Zombie Macrophage-Encapsulated Responsive Nanoparticles

    Zombie Macrophage-Encapsulated Responsive Nanoparticles

  • Nanomaterial Cellular Hitchhiking

    Nanomaterial Cellular Hitchhiking